Logo

Giải pháp A.I

Máy soi cổ tử cung Cerviray AI

Máy soi cổ tử cung Cerviray AI

Chụp ảnh cổ tử cung, sàng lọc ung thư dựa trên công nghệ AI
Xem chi tiết
Hệ thống nội soi tiêu hóa tích hợp trí tuệ nhân tạo MEDIUFES

Hệ thống nội soi tiêu hóa tích hợp trí tuệ nhân tạo MEDIUFES

MedInTech là công ty tiên phong trong lĩnh vực thiết bị y tế, đặc biệt nổi bật với việc phát triển hệ thống nội soi linh hoạt đầu tiên trên thế giới có tích hợp động cơ và phần mềm trí tuệ nhân tạo giúp tự động phát hiện tổn thương và điều khiển hướng di chuyển, từ đó giảm thiểu mệt mỏi cho bác sĩ và nâng cao độ chính xác trong chẩn đoán. Nội soi tích hợp động cơ: Giảm trọng lượng thiết bị, giúp bác sĩ dễ dàng thao tác và giảm mệt mỏi. Tích hợp AI: Tự động phát hiện ...
Xem chi tiết
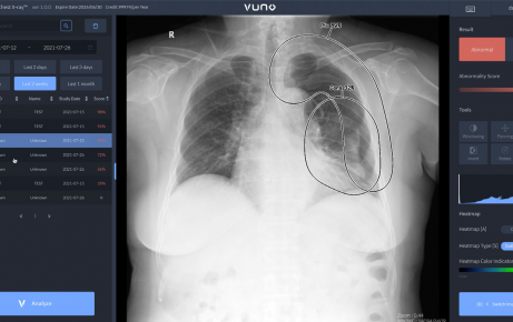
Phần mềm A.I hỗ trợ tầm soát nốt phổi

Phần mềm A.I hỗ trợ tầm soát nốt phổi

Công ty VUNO Inc. được thành lập khi ngành công nghiệp y tế ứng dụng trí tuệ nhân tạo (AI) trên toàn cầu còn đang ở giai đoạn sơ khai. Chúng tôi mang sứ mệnh “Nhìn thấy điều vô hình, Hiểu rõ điều chưa biết”, với mục tiêu hiện thực hóa tiềm năng vô hạn của công nghệ AI trong lĩnh vực y học. Là một trong những đơn vị tiên phong trong ngành Trí tuệ nhân tạo y tế, chúng tôi sẽ tiếp tục nghiên cứu, phát triển và mở rộng ứng dụng của AI y tế, tận dụng đa dạng nguồn ...
Xem chi tiết